【Ucallm】乙酰化兔多抗说明书(货号:WT9011)
U-Blot® Pan-Acetyllysine Rabbit pAb
乙酰赖氨酸(简称 Kac)是经典且广泛存在的赖氨酸乙酰化翻译后修饰。该修饰通过在赖氨酸残基的侧链氨基上共价添加乙酰基,改变蛋白质的电荷与结构,进而调控其功能。
赖氨酸乙酰化是组蛋白上重要的表观遗传标记,参与染色质重塑与基因转录调控;同时也广泛存在于代谢酶、信号蛋白、转录因子等非组蛋白中,在细胞代谢、信号转导、细胞周期进程与 DNA 修复等过程中发挥关键作用。赖氨酸乙酰化调控异常与肿瘤、代谢性疾病、神经退行性疾病等多种疾病的发生发展密切相关。
基本信息
名称 |
U-Blot® Pan-Acetyllysine Rabbit pAb |
货号 |
WT9011 |
克隆性 |
多克隆 |
克隆号 |
/ |
主要特点
靶点 |
Acetyllysine |
应用 |
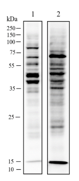
WB、IHC-P、ICC/IF、FC |
分子量(计算值) |
多重 |
分子量(观察值) |
多重 |
宿主物种 |
兔 |
亚型 |
IgG |
修饰 |
Lysine acetylation |
纯化 |
Protein A |
免疫原 |
多肽 |
储存信息
储存:-20℃保存,避免反复冻融
成分:0.01% NaN3,PBS,60% Glycerol,BSA
使用信息
应用 |
稀释度 |
推荐种属 |
WB |
1:1000-1:2000 |
All |
IHC-P |
1:100-1:200 |
Human, Mouse |
ICC/IF |
1:100-1:200 |
Human |
FC |
1:100-1:200 |
Human |
靶标信息
别名 |
Kac |
背景 |
乙酰赖氨酸(简称 Kac)是经典且广泛存在的赖氨酸乙酰化翻译后修饰。该修饰通过在赖氨酸残基的侧链氨基上共价添加乙酰基,改变蛋白质的电荷与结构,进而调控其功能。 赖氨酸乙酰化是组蛋白上重要的表观遗传标记,参与染色质重塑与基因转录调控;同时也广泛存在于代谢酶、信号蛋白、转录因子等非组蛋白中,在细胞代谢、信号转导、细胞周期进程与 DNA 修复等过程中发挥关键作用。赖氨酸乙酰化调控异常与肿瘤、代谢性疾病、神经退行性疾病等多种疾病的发生发展密切相关。 |
细胞定位 |
/ |
数据验证
PTM 产品中心
联系我们
无锡药科美生物科技有限公司
联系人:梅先生
手机:13911177784(微信同号)
END
产品中心


